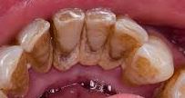
Un ejercito de micro-robots puede limpiar la placa dental.

0
placa bacteriana dentaltvweb

Una visita al dentista por lo general implica un raspado lento y en ocasiones desagradable con herramientas mecánicas para eliminar la placa de los dientes. ¿Qué pasaría si, en cambio, un dentista pudiera desplegar un pequeño ejército de robots diminutos para eliminar esa acumulación de manera precisa y no invasiva?

Un equipo de ingenieros, dentistas y biólogos de la Universidad de Pennsylvania desarrollaron un equipo de limpieza robótico microscópico. Con dos tipos de sistemas robóticos, uno diseñado para trabajar en superficies y el otro para operar dentro de espacios confinados, los científicos demostraron que los robots con actividad catalítica podrían destruir biopelículas, amalgamaciones pegajosas de bacterias enredadas en un andamio protector. Dichos sistemas robóticos de extracción de biopelículas podrían ser valiosos en una amplia gama de aplicaciones potenciales, desde mantener limpios los tubos de agua y los catéteres hasta reducir el riesgo de caries, infecciones endodónticas y contaminación de implantes.

El trabajo, publicado en Science Robotics, fue dirigido por Hyun (Michel) Koo de la Escuela de Medicina Dental y Edward Steager de la Escuela de Ingeniería y Ciencias Aplicadas.

“Esta fue una interacción verdaderamente sinérgica y multidisciplinaria”, dice Koo. “Estamos aprovechando la experiencia de los microbiólogos y clínicos-científicos, así como los ingenieros para diseñar el mejor sistema de erradicación microbiana posible. Esto es importante para otros campos biomédicos que enfrentan biopelículas resistentes a los medicamentos a medida que nos acercamos a una era posterior a los antibióticos”.

“El tratamiento de las biopelículas que se producen en los dientes requiere una gran cantidad de trabajo manual, tanto por parte del consumidor como del profesional”, agrega Steager. “Esperamos mejorar las opciones de tratamiento y reducir la dificultad de la atención”.

Las biopelículas pueden surgir en superficies biológicas, como en un diente o en una articulación o en objetos, como tuberías de agua, implantes o catéteres. Dondequiera que se formen las biopelículas, son muy difíciles de eliminar, ya que la matriz pegajosa que contiene las bacterias proporciona protección contra los agentes antimicrobianos.

En trabajos anteriores, Koo y sus colegas han avanzado en la descomposición de la matriz de biofilm con una variedad de métodos listos para usar. Una estrategia ha sido emplear nanopartículas que contienen óxido de hierro que funcionan catalíticamente, activando el peróxido de hidrógeno para liberar radicales libres que pueden matar las bacterias y destruir las biopelículas de manera específica.

De manera casual, el equipo de Penn Dental Medicine descubrió que grupos en Penn Engineering liderados por Steager, Vijay Kumar y Kathleen Stebe trabajaban con una plataforma robótica que utilizaba nanopartículas de óxido de hierro muy similares a los bloques de construcción para microrobots. Los ingenieros controlan el movimiento de estos robots utilizando un campo magnético, lo que permite una forma sin cables para guiarlos.

Juntos, el equipo de escuelas cruzadas diseñó, optimizó y probó dos tipos de sistemas robóticos, que el grupo denomina robots catalíticos antimicrobianos, o CAR, capaces de degradar y eliminar las biopelículas. La primera consiste en suspender las nanopartículas de óxido de hierro en una solución, que luego puede ser dirigida por imanes para eliminar las biopelículas en una superficie de forma similar a un arado. La segunda plataforma implica integrar las nanopartículas en moldes de gel en formas tridimensionales. Estos se utilizaron para atacar y destruir las biopelículas que obstruyen los tubos cerrados.

Ambos tipos de CAR mataron efectivamente las bacterias, rompieron la matriz que las rodea y eliminaron los escombros con alta precisión. Después de probar los robots en biopelículas que crecen en una superficie plana de vidrio o en tubos de vidrio cerrados, los investigadores probaron una aplicación clínicamente más relevante: eliminar la biopelícula de las partes difíciles de alcanzar de un diente humano.

Los CAR fueron capaces de degradar y eliminar las biopelículas bacterianas no solo de la superficie de un diente sino de una de las partes más difíciles de acceder de un diente, el istmo, un corredor estrecho entre los canales de la raíz donde comúnmente crecen las biopelículas.

“Los tratamientos existentes para las biopelículas son ineficaces porque no pueden degradar simultáneamente la matriz protectora, matar las bacterias incrustadas y eliminar físicamente los productos biodegradados”, dice Koo. “Estos robots pueden hacer los tres a la vez de manera muy efectiva, sin dejar rastro de biofilm en absoluto”.

Al eliminar los restos degradados de la biopelícula, dice Koo, la posibilidad de que se afiance y vuelva a crecer disminuye sustancialmente. Los investigadores prevén dirigir con precisión estos robots a donde necesitan ir para eliminar las biopelículas, ya sea en el interior de un catéter o una línea de agua o superficies de dientes difíciles de alcanzar.

“Pensamos en los robots como sistemas automatizados que realizan acciones basadas en información recopilada activamente”, dice Steager. En este caso, dice, “el movimiento del robot puede ser informado por imágenes del biofilm recolectado de microcámaras u otros modos de imágenes médicas”.

Para llevar la innovación a la aplicación clínica, los investigadores reciben apoyo del Centro de Salud, Dispositivos y Tecnología de Penn, una iniciativa apoyada por la Escuela de Medicina Perelman de Penn, Ingeniería de Penn y la Oficina del Vicerrector de Resea