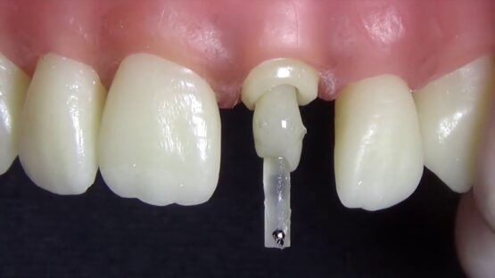
En este video, su autor, nos enseña el paso a paso de la preparación, colocación y modelado de un perno intra radicular directo
Pernos modelados directos


En este video, su autor, nos enseña el paso a paso de la preparación, colocación y modelado de un perno intra radicular directo