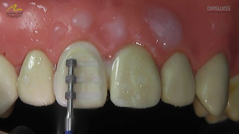
En este video, su autor, nos muestra paso a paso como tallar un diente para colocar una carilla dental
Tallado para una Carilla Dental , Paso a Paso
Colocacion de Postes de Fibra de Vidrio en canal radicular Paso a Paso
En este video, su autor, nos muestra como colocar un poste preformado de fibra de vidrio paso a paso dentro del canal radicular y como fabricar el muñon
