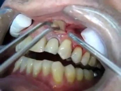
En este video se enseña como drenar un absceso. Para verlo si no sabes hacerlo o para simplemente recordar el procedimiento
Como drenar un absceso


En este video se enseña como drenar un absceso. Para verlo si no sabes hacerlo o para simplemente recordar el procedimiento